ساعدنیوز: لا أحد کان یستطیع أن یتخیل أن کریج لویس سینجو، إذ کان یعانی من مرض نادر أدى فی النهایه إلى توقف قلبه.
بناءً على تقریر قسم المجتمع فی “ساعد نیوز”، رفض کریغ الاستسلام واستمر فی القتال من أجل حیاته، إلى درجه أنه أصبح الآن معترفًا به کالشخص الوحید فی العالم الذی یعیش بدون قلب. کان کریغ قد تم تشخیصه بمرض الأمیلویدوز، وهو مرض ینتج فیه الجسم بروتینات غیر طبیعیه. وفی حالته، تسببت هذه البروتینات بتکوّن جلطات دمویه فی قلبه. ومع مرور کل یوم، تدهورت وظائف قلبه، ولم یعد حتى منظم ضربات القلب قادرًا على إبقائه على قید الحیاه.
لم تفقد عائله کریغ الأمل فحسب، بل بدأ هو نفسه یعتقد أنه سیضطر قریبًا لوداع أحبائه. ثم حدث أمر استثنائی. عرض طبیبان من معهد تکساس للقلب، بعد معرفتهما بحاله کریغ، حلاً ثوریًا یمکن أن ینقذ حیاته. وإذا نجح، کان اقتراحهما سیشکل إنجازًا کبیرًا فی تاریخ الطب.

اقترح الدکتور بیلی کوهین والدکتور باد فریزر على عائله کریغ إزاله قلبه وزرع جهاز یقوم بتدویر الدم دون أی نبض للقلب. وافق کریغ لویس، وحافظ هذا الإجراء على حیاته. وکانت القصه مذهله لدرجه أن المخرج جیریمی زاغار، المرشح لجائزتی إیمی عام 2010، وثّق حیاه أول إنسان بلا قلب بتفاصیل کامله.
کان الدکتوران کوهین وفریزر یعملان لسنوات على مشروع یسمى "القلب الاصطناعی الکلی". اختبروا جهازهما على نحو 50 عجلًا. وکل مره یحل فیها الجهاز محل قلب العجل، کان الحیوان یقف فی الیوم التالی ویستمر فی أنشطته الطبیعیه—تناول الطعام، النوم، الحرکه، وحتى الجری—رغم غیاب قلب لضخ الدم.
وعندما أثبتت هذه التجارب الأولیه نجاحها، زاد الاهتمام الإعلامی. وأوضح الدکتور کوهین: “إذا وضعت سماعه الطبیب على أحد هذه العجول، لن تسمع أی نبض. وتُظهر تخطیط کهربائیه القلب خطًا مستقیمًا فقط. ومع ذلک، هم أحیاء، ویتدفق الدم فی عروقهم.”
تدهورت حاله کریغ لویس یومًا بعد یوم، ما جعل الأطباء یشعرون بقلق متزاید. وکان على بعد وقت قصیر من الموت. وبعد سماع اقتراح الدکتورین کوهین وفریزر، اضطرت عائله کریغ لاتخاذ قرار سریع. فی مارس 2011، وافقت زوجته، مما سمح للأطباء بإزاله قلبه وزرع الجهاز.

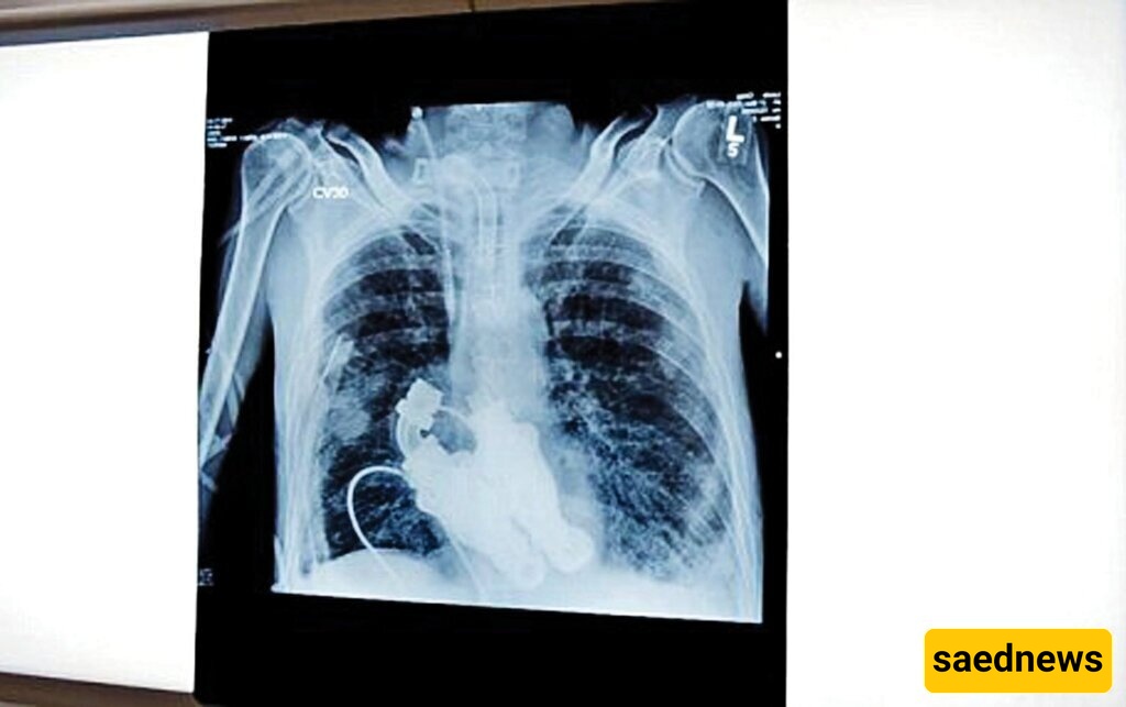
یعمل الجهاز المزروع فی صدر کریغ مثل التوربین، حیث یدفع الدم فی جسده. یستخدم مکونات عریضه تشبه الشفرات لتدویر الدم دون أی حرکه ضخ. وبینما یمتلک بعض المرضى، بما فی ذلک نائب الرئیس الأمریکی السابق دیک تشینی، أجهزه مشابهه، إلا أن تلک الأجهزه عادهً تساعد إحدى بطینَی القلب فقط، ولا تحل محل القلب بالکامل.
فی غرفه العملیات، کانت عائله کریغ تنتظر الأخبار بقلق. وعندما خرج الأطباء، أکدوا نجاح العملیه—لکن الاختبار الحقیقی کان ما إذا کان کریغ سیستعید وعیه. ولدهشه الجمیع، فعل ذلک. فتح عینیه وحتى تحدث مع الأطباء الحاضرین.
بقی کریغ فی وحده العنایه المرکزه. ووضع الأطباء والممرضون سماعات الطبیب على صدره، لکن لم یُسمع أی نبض—بل صوت خافت للدوامه فقط. وتذکرته زوجته لیندا بتفصیل: “استمعت بعنایه، وکل ما سمعته کان أزیزًا. کان أمرًا لا یصدق. لم یکن لدیه نبض—لأنه لم یکن لدیه قلب.”